
Reference Guide to Fine Needle Aspiration of Skin Lesions:
A Practical and Diagnostic Cornerstone in Veterinary Cytology
The skin is the largest organ of the body and one of the most frequently sampled tissues in veterinary diagnostic practice. As highlighted in Finn Pathologists’ Organ of the Month: Skin article (https://www.finnpathologists.com/2025/05/12/organ-of-the-month-skin/), skin biopsies remain central to the diagnosis of inflammatory, infectious, and neoplastic dermatoses. However, fine‑needle aspiration (FNA) cytology provides a complementary—and often underutilised—diagnostic approach, offering rapid, clinically actionable information before a biopsy is undertaken.
Because cutaneous and subcutaneous lesions are typically superficial, visible, and easily accessible, they are ideally suited to cytologic sampling. When performed correctly and interpreted within appropriate clinical context, FNA can reliably distinguish inflammatory from neoplastic disease, identify broad tumour lineage, and guide diagnostic and therapeutic planning while minimising patient morbidity.
The sample should ALWAYS be accompanied by a clinical history, as cytology lacks the architectural context provided by histopathology, and the aspirate may have been obtained from virtually any site on the animal.
1. The Role of Fine Needle Aspiration in the Diagnostic Pathway
Fine‑needle aspiration does not replace histopathology; rather, it guides and complements it. In day‑to‑day practice, FNA serves as a rapid screening and triage tool, helping clinicians decide:
- whether a lesion is inflammatory or neoplastic,
- how urgently further diagnostics are required,
- whether surgical excision is appropriate,
- and which lesion(s) to prioritise when multiple masses are present.
FNA is particularly valuable as:
- A first‑line test for newly identified skin and subcutaneous masses
- A triage tool to determine urgency and suitability for surgery
- A means of evaluating multiple lesions in patients with multicentric disease
- A method for monitoring recurrence, metastasis, or treatment response
In many cases, FNA provides sufficient information to classify lesions into one of four broad categories: inflammatory, hyperplastic/reactive, benign neoplastic, or malignant neoplastic—a distinction that can dramatically influence case management.
2. Sampling Technique and Slide Preparation
2.1 Needle Selection and Aspiration Method
Recommended technical considerations include:
- Needle size: 25-27G for most cutaneous and subcutaneous lesions
- Syringe size: 5–10 mL; avoid excessive suction
- Capillary (non‑aspiration) technique: ideal for fragile or highly exfoliative tumours (e.g., round‑cell neoplasms)
- Gentle aspiration: for firmer or poorly exfoliative lesions
Multiple needle passes from different parts of a lesion improve diagnostic yield and reduce sampling bias, especially in heterogeneous, cystic, or partially necrotic masses.
2.2 Smear Preparation
Material should be expelled gently onto clean slides and spread using squash, pull‑apart, or starfish techniques, depending on cellularity. Multiple smears should be prepared whenever possible.
To optimise diagnostic quality and reduce artefacts:
- Prepare thin, even smears—thick areas obscure cell detail (Figures 1 & 2).
- Allow slides to air‑dry rapidly in good airflow to minimise cell rupture and drying artefacts.
- Avoid excessive pressure during spreading.
- Air‑dried smears are appropriate for most Romanowsky‑type stains (Diff‑Quik, MGG, Wright’s).
- Avoid sampling and preparation artefacts as much as possible (Figures 3, 4, 5, 6, 7 & 8).
Suboptimal smear preparation remains one of the leading causes of non-diagnostic cytology, often more limiting than sampling technique itself.

Figure 1. A very thick FNA smear. The preparation is too dense to allow reliable identification of individual cells.

Figure 2. A very thin FNA smear. Cellular yield is low, but the presence of surface lipid is noteworthy, as this may indicate a lipoma. Such smears may not fix well after air‑drying, and cells can be lost during staining.
Artefact Examples

Figure 3. Excessive aspiration pressure causing widespread cell rupture (high‑grade lymphoma; Modified Wright’s, ×60).

Figure 4. Smear distortion and “rolled” material caused by spreading partially dried samples (Modified Wright’s, ×40).

Figure 5. Haemolysis artefact—serum proteins or haemoglobin precipitating along the smear during forceful aspiration (Modified Wright’s, ×60).

Figure 6. Formalin‑fume artefact resulting from transport too near biopsy pots, leading to poor staining and fixation changes (Modified Wright’s, ×60).

Figure 7. Ultrasound or lubricating gel contamination staining bright red /purple and obscuring detail (Modified Wright’s, ×40).

Figure 8. Necrotic material sampled from the centre of a lesion with few viable cells (Modified Wright’s, ×60)
3. Cytologic Evaluation of Skin Lesions
Lesions and their underlying aetiology can be broadly subclassified according to the predominant cell populations harvested during sampling. Recognising these cytologic patterns (Figure 9) —whether inflammatory, round‑cell, epithelial, mesenchymal, or mixed—provides an immediate framework for generating meaningful differentials before more definitive testing.

Figure 9. Schematic overview of the decision‑making algorithm employed during cytological evaluation.
3.1 Inflammatory Skin Lesions
Inflammatory lesions (and neoplasms) are among the most diagnostically rewarding samples in cutaneous cytology. Identifying the predominant inflammatory cell type helps guide the clinician toward likely underlying causes (Table 1).
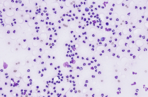
Suppurative inflammation (Figure 10) is the pattern most frequently encountered. It is dominated by neutrophils—often degenerate—set within a proteinaceous or necrotic background. Intracellular bacteria support a diagnosis of sepsis, although extracellular organisms may also be present.
Other inflammatory patterns also provide important diagnostic clues:


Figure 10 – Suppurative inflammation showing neutrophils, some degenerate and lytic. Modified Wright’s stain, ×40 objective.
3.2 Neoplastic Skin Lesions
Round Cell Tumours
Round cell tumours exfoliate readily and typically provide highly cellular, diagnostically rewarding aspirates. They contain discrete, non-cohesive cells, making them particularly amenable to FNA evaluation.
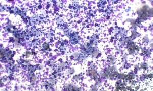
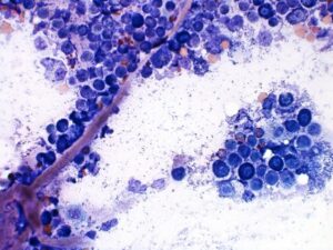
Mast cell tumours (Figure 11) consist of round, discrete cells with abundant cytoplasmic metachromatic granules. Granule density may vary with tumour grade. Eosinophils are commonly present owing to mast cell–derived chemotactic mediators.

Figure 11 – Mast cells with obvious magenta granules and some capillaries. Modified Wright’s stain, ×60 objective.
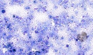
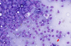
Cutaneous histiocytomas (Figure 12) form sheets of histiocytic cells with pale to lightly basophilic cytoplasm and round to indented nuclei. Regressing lesions often contain numerous small lymphocytes, reflecting immune-mediated regression.

Figure 12 – Cytological features of a histiocytoma. The smear shows a population of medium‑sized round cells with abundant pale blue cytoplasm and a few reniform to indented nuclei (Red arrow), typical of reactive Langerhans‑cell origin. Modified Wright’s stain, ×40 objective.
Other, less common, round cell tumours in the skin include lymphoma, histiocytic sarcoma, and extramedullary plasma cell tumours.
Epithelial Tumours
Epithelial neoplasms usually exfoliate in cohesive clusters, sheets, or acinar arrangements due to strong intercellular adhesion.
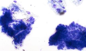
Sebaceous adenomas (and more commonly, nodular areas of sebaceous hyperplasia) and sebaceous epitheliomas yield cohesive groups of epithelial cells with abundant foamy, lipid-rich cytoplasm and small, uniform nuclei. The presence of mature sebocytes with minimal pleomorphism supports a benign process; however, increased numbers of smaller basal cells raise suspicion for epithelioma (Figure 13).

Figure 13 – Cytological features of a sebaceous epithelioma. The smear shows clusters and sheets of basaloid epithelial cells with some having abundant finely vacuolated, foamy cytoplasm consistent with sebaceous differentiation. Nuclei are round to oval with smooth chromatin and small nucleoli. Modified Wright’s stain, ×40 objective.
Cystic and keratinising lesions—including non‑neoplastic cysts—may yield only keratinaceous debris with scant or absent epithelial cells (Figure 14).

Figure 14 – Cytological features of keratinaceous debris from an epidermal cyst. The smear shows abundant anucleate keratin squames admixed with amorphous keratinous material. Modified Wright’s stain, ×40 objective.
Mesenchymal Tumours
Mesenchymal tumours exfoliate poorly and often produce low-cellularity preparations. When present, cells often appear spindle-shaped, stellate, or elongate, with wispy cytoplasm and oval to elongated nuclei. They frequently lie within or adjacent to pale extracellular matrix, supporting a mesenchymal origin (Figure 16).
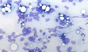
Lipomas, a very common mesenchymal tumour, but these are not spindle-shaped, and are easily identified due to the presence of free lipid droplets and adipocytes distended with clear cytoplasm and a small peripheral nucleus (Figure 15).

Figure 15 – Cytological features of a lipoma. The smear shows numerous mature adipocytes appearing as large round cells with clear, well‑demarcated cytoplasmic vacuoles causing marked peripheral displacement of small, dense nuclei. Modified Wright’s stain, ×40 objective.

Figure 16 – Cytological features of a well‑differentiated sarcoma. The smear shows a population of spindle‑shaped mesenchymal cells arranged individually and in loose aggregates, with moderate pale cytoplasm and elongate to oval nuclei exhibiting mild anisokaryosis. Scattered extracellular matrix (collagen) may be present (red arrows). Modified Wright’s stain, ×40 objective
While cytology can strongly suggest a spindle cell tumour, differentiating benign from malignant is often unreliable, and histopathology is usually required for definitive classification.
Melanocytic Tumours
Melanocytic tumours show considerable cytologic variability. Melanin pigment may be abundant, scant, or absent (amelanotic forms), the latter making diagnosis more challenging.
Benign lesions (e.g., melanocytomas) typically contain well‑differentiated cells with minimal atypia. Malignant melanomas (Figure 17) often demonstrate marked anisocytosis and anisokaryosis, prominent nucleoli, and occasional bi‑ or multinucleation. Dense pigment granules—when present—may obscure nuclear detail. However, histopathology is required to make the distinction.

Figure 17 – Cytological features of a poorly differentiated melanoma. The smear shows a population of pleomorphic round to spindle‑shaped cells with scant to moderate basophilic cytoplasm and marked anisokaryosis. Nuclei are irregular with coarse chromatin and prominent nucleoli, and occasional binucleated or multinucleated forms may be present. Fine intracytoplasmic melanin pigment may be seen but is often sparse. Modified Wright’s stain, ×40 objective.
4.1 Strengths
- Rapid, minimally invasive technique
- Cost‑effective and easily repeatable
- Excellent diagnostic performance for round cell tumours and most inflammatory lesions
- Allows sampling of multiple lesions during a single visit
- Provides immediate information to guide treatment or biopsy decisions
4.2 Limitations
- Lack of tissue architecture limits tumour grading
- Sampling error, particularly in heterogeneous or poorly exfoliating masses
- Some neoplasms (e.g., spindle cell tumours, amelanotic melanoma) cannot be definitively classified cytologically
- Even with optimal technique, some aspirates remain nondiagnostic
5. Common Pitfalls in Fine Needle Aspiration of Skin Lesions
Common pitfalls include sampling error, overinterpretation of inflammation, failure to recognise poorly differentiated or low‑grade neoplasms, and suboptimal smear preparation. Awareness of these limitations—and clear communication of any diagnostic uncertainty—are essential to good clinical practice.
6. Integrating Cytology with Histopathology
Histopathology remains essential for definitive tumour classification, grading, margin assessment, and evaluation of complex or deep inflammatory dermatoses. Cytology is most powerful when used early in the diagnostic pathway, guiding biopsy site selection, assessing urgency, and informing clinical planning.
7. Final Thoughts
Fine needle aspiration cytology is a cornerstone of dermatological diagnosis. With careful technique and thoughtful pattern recognition, it provides rapid, valuable insights that support clinical decision‑making. Used in conjunction with histopathology, cytology enhances diagnostic efficiency, reduces unnecessary surgery, and improves patient outcomes.
General cytology technique, strengths & limitations
Pattern recognition (neoplasia classes; quick refreshers)
- Today’s Veterinary Practice – Cytology of Neoplasia: essential concepts (round vs epithelial vs mesenchymal; criteria of malignancy; melanoma caveats). Link
Round cell tumours
- MSPCA–Angell – Colour atlas of canine cutaneous round cell tumours (concise morphology by entity). Link
Mast cell tumour specifics
- eClinpath – Mast cell tumour (cytology, grading pointers). Link
Histiocytoma / histiocytic proliferations
- VCA – Cutaneous histiocytoma (client‑level but accurate, for quick context). Link
Epithelial tumours
- WSAVA/VIN – Cytology of “Lumps and Bumps” (sebaceous adenoma description and differentials). Link
Mesenchymal (spindle cell) tumours
- Veterinary Clinical Pathology: An Introduction – Spindle cell tumours (why poor exfoliation; malignant features). Link
Related Posts
Reference Guide to Fine Needle Aspiration of Skin Lesions: A Practical and Diagnostic Cornerstone in Veterinary Cytology
Reference Guide to Fine Needle Aspiration of Skin Lesions: A Practical and Diagnostic Cornerstone in…
Oncology Service Now Available – FREE for 3 months
Download a PDF
2026 Bank Holiday Information
Download a PDF
Organ of the Month: Muscle
Organ of the month: Muscle I. Muscle biopsy In this blog, we turn to muscle…

