
1. Indications for liver biopsy
- A persistent rise in liver enzymes. Unterer (2017) suggests that elevated enzymes three times within a two-week period would warrant biopsy to investigate possible liver disease*.
- Abnormal liver function parameters, especially serum bile acids, should trigger biopsy, as well as identification of a grossly abnormal liver, e.g. on palpation or imaging.
- Investigation of a specific breed-related hepatopathy warrants liver biopsy too. Copper-related hepatopathy is becoming more and more recognised in dogs.
*It’s worth bearing in mind that elevated liver enzymes can be age related in dogs. Not infrequently, we receive liver biopsies from elderly dogs because their pre-operative liver enzymes were elevated – and we find nothing wrong histologically.
Similarly, dogs may develop a non-specific “reactive hepatitis” secondary to other conditions external to the liver, such as dental or gastrointestinal disease.
2. Liver biopsy – Types, pros and cons
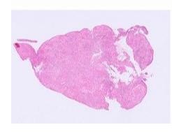
The main types of liver biopsy for histopathological assessment are Tru-cut needle, wedge and laparoscopic biopsies. Wedges are preferred (by pathologists!) – Figs 1 and 2 below explain why.
Fig 1. Wedge biopsies – pros and cons

Fig 2. Tru-cut biopsies – pros and cons

The laparoscopic approach is a good compromise that allows visual evaluation of most of the liver and sampling of multiple lobes. It is also minimally invasive and, while not as large as wedges, the resultant biopsies are much bigger than Tru-cuts.
3. Liver biopsy – Tips
- For Tru-cuts, specialists recommend sampling multiple liver lobes, including grossly normal and grossly abnormal. It has been suggested that at least two lobes are sampled and at least three biopsies collected3. [15 portal triads are the general recommendation4; as a broad guide, a 1cm long Tru-cut will usually contain fewer than 10 portal areas].
- More samples may be required if considering copper analysis and culture, in addition to histopathology. In such circumstances, five samples are considered “adequate”5.
- Collect as much tissue as possible; place different sites in different pots and label them.
- Best to avoid lobe tips as they may be less representative or even misleading.
4. How to submit



5. Relevant clinical information
- Species and breed.
- Brief history including any treatment (it is extremely helpful for us to know why you sampled the liver).
- Brief summary of clinical signs and clinical differentials.
- Biochemistry results if available (specific enzyme values are most helpful).
- Appearance of the liver on imaging and at time of surgery if applicable.
6. Histopathological examples
Fig 3. Canine liver lobule with central vein (CV) in middle and portal tracts (PT) on the periphery – this lobule measures ~1mm diameter. An entire lobule is generally only captured via a wedge biopsy.

Fig 4 A-E. Special stains. We routinely run special stains for connective tissue (to assess fibrosis and structure), hemosiderin / iron, copper and bile, amongst a few others, as needed. A (H&E); B (Fouchet bile); C (Perls iron); D (Masson’s trichrome); E (Rhodanine red for copper)

Fig 5. Two wedge liver biopsies from same dog. Although one is badly fragmented (B), a significant amount of copper was still appreciable with a rhodanine red stain (C and D), leading to a diagnosis of likely copper-associated chronic hepatopathy.
Fig 6. Liver sample collected after death of a goat. This confirmed chronic suppurative cholangitis, probably of bacterial origin, either ascending from the intestinal tract, or reaching the liver haematogenously.

References
- Unterer S. When Should I Take Liver Biopsies? World Small Animal Veterinary Assoc. Congress Proceedings, 2017.
- Bayton W. https://www.veterinary-practice.com/article/what-to-do-if-you-suspect-liver-disease, 2019.
- Watson P. Canine and feline liver sampling: communication between clinician and pathologist really makes a difference. British Society of Veterinary Pathology, September 2021.
- Center SA. https://www.msdvetmanual.com/digestive-system/laboratory-analyses-and-imaging-in-hepatic-disease-in-small-animals/liver-biopsy-in-small-animals
- Cullen J. The Good Liver Biopsy. British Society of Veterinary Pathology, September 2023.
Related Posts
2026 Bank Holiday Information
Download a PDF
Organ of the Month: Muscle
Organ of the month: Muscle I. Muscle biopsy In this blog, we turn to muscle…
Organ of the Month: Mammary Glands
Organ of the month: Mammary Glands I. Indications for biopsy/pathological evaluation Mammary lesions are among…
Organ of the Month: PART II – The Male Reproductive Tract
Organ of the month: PART II – The Male Reproductive Tract I. Indications for biopsy/pathological…











